| ------------------------------------------------------------------------------------------------------------ |
|
18.05.13
Heute ist der
Kleine schon 1. Woche alt.
Er ist putz munter und fängt langsam an auch "größere Strecken 40-50cm
;-) ", durch sein Welpenbett zu robben. Inzwischen versucht er auch
schon, sein noch sehr wackeligen u. schweren Kopf "längere Zeit"
an/hochzuheben.


|
| ------------------------------------------------------------------------------------------------------------ |
|
17.05.13
Mutter & Sohn geht es super.


|
|
------------------------------------------------------------------------------------------------------------ |
|
16.05.13
Heute hatten wir die Wurfbesichtigung durch den geprüften DDC Zuchtwart.
Dem Kleinen geht es sehr gut, er hat inzwischen gut zugenommen und wiegt
heute bereits über 500g.

So klein bzw. groß wie Mama`s Pfote.

Inara die Supermutti, sobald der Kleine auch nur einen Pips von sich
gibt, sofort zur Tür "LASST MICH REIN""

Mama
Inara eine schnelle Runde durch den Garten, nur das "Nötigste" erledigen
und sofort wieder rein zum
Kleinen :-)

Wenn es nach ihr gehen würden, dann würde sie am liebsten 24 Stunden nur
liegen und den Kleinen bemuttern :-)
Wenn der Kleine gewogen wird, sitzt sie jammernt daneben und fordert uns
auf, durch anschubsen schneller zumachen. :-)
Sie ist einfach ein Spitzen Mama :-).
|
|
------------------------------------------------------------------------------------------------------------ |
|
14.05.13

|
|
------------------------------------------------------------------------------------------------------------ |
|
13.05.13
Mama Inara
geht es bestens und dem Kleinen geht es auch sehr gut, die Atmung ist
inzwischen regelmäßig
und der Saugreflex ist auch da.
Jetzt heißt es ordentlich Gewicht zunehmen.



|
|
---------------------------------------------------------------------------------------------------------- |
|
Nach der
Geburtseinleitung kamen unsere Welpen zur Welt.
Ein gefleckter Rüde
und ein schwarzes Mädchen, leider wurde sie tot geboren.
Vermutlich war sie der Auslöser für den grünlichen Ausfluss.
Nun haben
wir also einen ganz tollen gefleckten Rüden, der bei uns als
verwöhntes Einzelkind :-) aufwachsen wird.
Er hatte zum Glück keine Probleme mit der Blutgerinnung. Die Atmung war
noch etwas schwerfällig/flach, aber das sei laut TA nach der
Geburtseinleitung und vor allen in dem frühen Alter auch völlig normal.
Der Saugreflex muss sich in den nächsten Stunden/Tag noch
weiterentwickeln/verstärken.

|
|
------------------------------------------------------------------------------------------------------ |
|
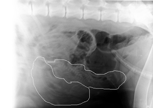
11.05.13
Aufgrund
des grünlich-grauen Ausfluss von Inara, der vermutlich durch einen
toten Welpen kam, riet uns der Tierarzt trotz viel zu frühen
Geburtstermin, nicht mehr länger zu warten und die Geburt einzuleiten.
Die Gesundheit von Inara stand nun an allererster Stelle.
Es stand 50% zu 50% das die Welpen in diesem Frühstadium überlebensfähig
sind.
Hier ist es ähnlich wie bei uns Menschen:
Es kann sein, das die Lunge sowie der Saug/Schluckreflex noch nicht weit
genug ausgebildet sind und es auch Probleme mit der Blutgerinnung geben
kann.
Leider kann es auch bei der Mama Probleme mit der Milchbildung
/Milcheinschuss geben, ähnlich wie nach einem Kaiserschnitt.
Also kam die Frage: Mutter leben oder Welpen leben???, wenn wir ganz
ganz viel Glück haben geht es allen gut.
Da es laut Röntgenbild nur zwei Welpen waren, und es immer hohe Risiken
bei einer Kaiserschnitt OP geben kann, hat uns der TA dazu geraten,
durch strenge medizinische Versorgung, das Inara die zwei Welpen
natürlich zur Welt bringen soll.
Wären es mehr Welpen gewesen, wäre eine Normalgeburt nicht möglich
gewesen!
Auf den Bildern kann man sehr schön die Beiden Kleinen sehen.
Info: die schwarzen "Blasen" im oberen Bereich sind keine Welpen, es
ist Luft :-).
 
Mouseover
zur Bildvergrößerung |